Avoiding Serious Complications in Trabeculectomy Surgery - (10) Foundations of Post-op Care Peter Shah 2327 Views
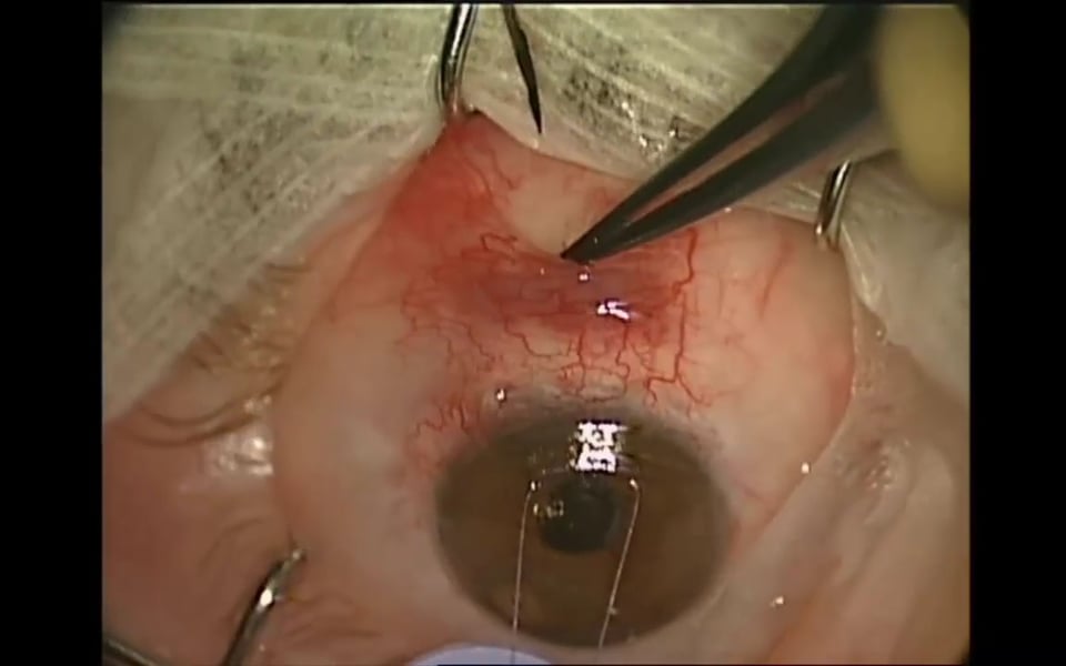
Avoiding Serious Complications in Trabeculectomy Surgery - (4) Intra-operative setup Access and Exposure Peter Shah 2281 Views