Skip to main content

Occipital Lobe Haemorrhage Causing Pallinopsia

Graham Lee
673 Views

Occipital Lobe Haemorrhage Causing Pallinopsia

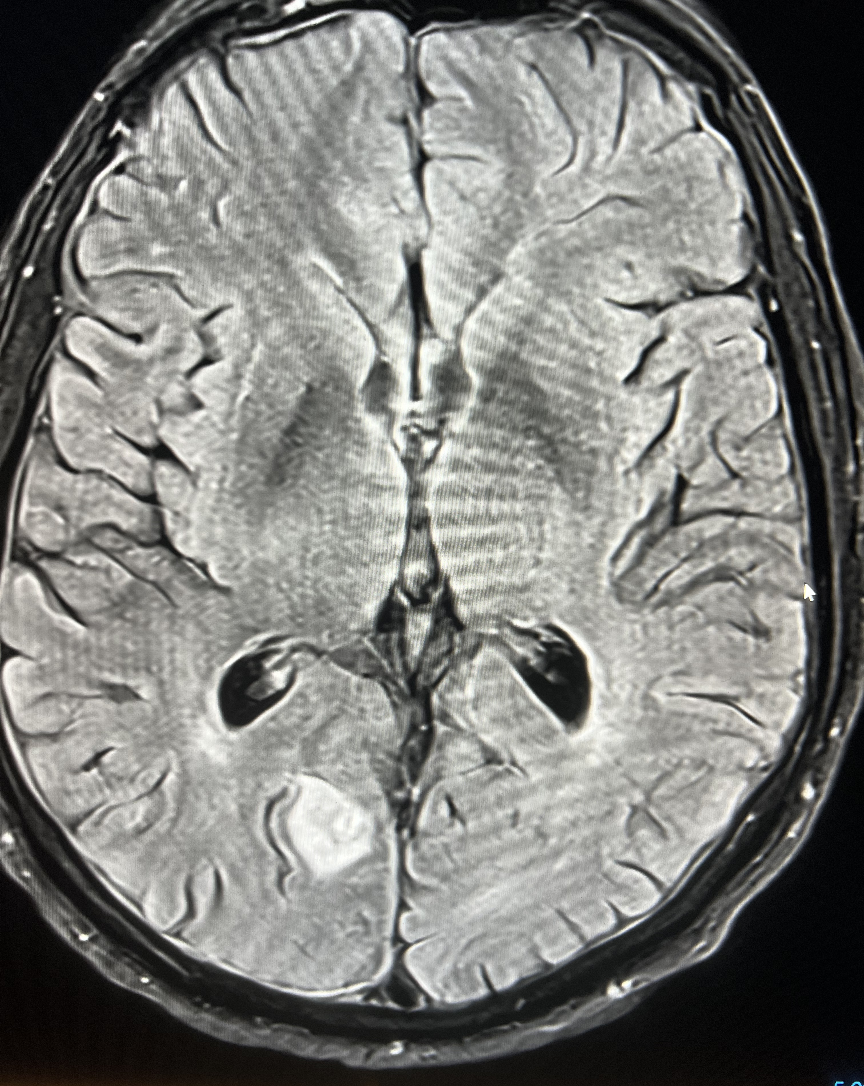
A 77 male presented with a 10 history of visual symptoms following heavy exertion. He described it as an afterimage on his left temporal field eg he would see a person walking past and then see them again a moment later. There was no headache. MRI with contrast showed a right superficial occipital lobe haemorrhagic infarct with mild diffuse meningeal enhancement, related to the haemorrhage. He was treated conservatively with follow up by a neurologist.